¿Qué es una caries? Esta es una de las preguntas más frecuentes cuando alguien nota una molestia al tomar algo frío, dulce o caliente. Puede parecer algo leve, pero es una condición que conviene conocer y tratar a tiempo. Las caries afectan a personas de todas las edades y, aunque suelen ser silenciosas en su fase inicial, pueden avanzar rápido si no se controlan.
Desde Julián y Valderas, como tu clínica dental en Teruel de confianza, te contamos todo lo que necesitas saber.
Entonces, ¿qué es una caries?
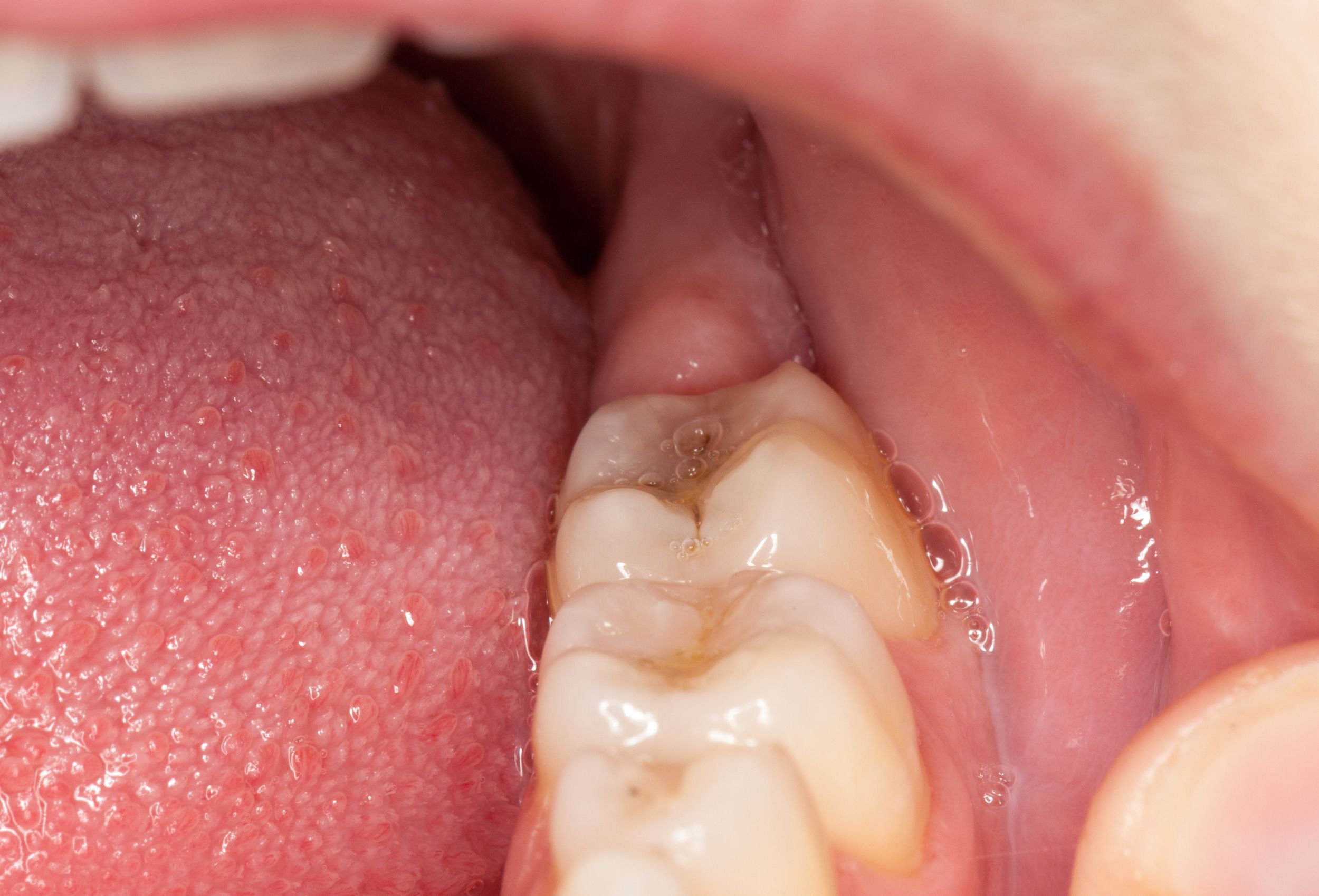
La caries en los dientes son una lesión que se forma cuando los ácidos generados por las bacterias de la boca atacan y desgastan el esmalte dental. Es un proceso que comienza con pequeñas desmineralizaciones y puede avanzar hacia capas internas como la dentina y, más tarde, la pulpa.
Aunque es un problema muy habitual, no debe subestimarse. Su evolución puede comprometer la estructura del diente y provocar dolor, infecciones o incluso la pérdida de la pieza afectada.
Causas principales de la aparición de caries dentales
Entender por qué aparecen las caries dentales es clave para poder prevenirlas. No se trata solo de comer muchos dulces, intervienen varios factores que, combinados, favorecen el desarrollo de estas lesiones. La higiene diaria, el tipo de dieta, la saliva o incluso la forma de los dientes influyen más de lo que parece.
Estas son las causas más comunes:
- Presencia constante de placa bacteriana: la acumulación de bacterias y restos de comida sobre los dientes genera un entorno ácido que daña el esmalte.
- Consumo frecuente de azúcares y almidones: los alimentos ricos en carbohidratos fermentables alimentan a las bacterias que producen los ácidos responsables.
- Falta de higiene bucodental: un cepillado inadecuado o poco frecuente facilita que la placa se adhiera y prolifere. Flujo salival insuficiente: la saliva neutraliza ácidos y ayuda a eliminar restos de comida; si hay poca, el riesgo aumenta.
- Formas irregulares de los dientes: las piezas con surcos profundos son más difíciles de limpiar y acumulan más placa.
- Uso insuficiente del hilo dental: muchas caries aparecen entre los dientes, justo en zonas donde el cepillo no alcanza.
Cuando se combina una o más de estas causas, dejan a los dientes sin defensa. Prestar atención a esos pequeños gestos diarios es lo que realmente marca la diferencia entre una boca sana y una que necesita tratamiento.
Sintomatología de las caries dentales
La sintomatología varía según el grado de avance. En muchos casos, el paciente no percibe nada en la fase inicial. Cuando el esmalte empieza a deteriorarse, pueden aparecer molestias leves, especialmente al tomar bebidas frías o dulces. Si la lesión avanza hacia la dentina, la sensibilidad aumenta y se hace más constante.
En estadios más avanzados, el dolor aparece incluso sin estímulos externos. También pueden verse manchas oscuras, pequeñas cavidades o notar mal aliento persistente. Todo esto indica que es caries, una señal clara de que el tejido dental está dañado y requiere atención.
¿Cómo evitar las caries?
Aunque parezcan inevitables, prevenirlas es totalmente posible con una rutina adecuada. La clave está en actuar antes de que aparezcan los síntomas. La prevención de las caries empieza por una buena higiene, pero también requiere controlar la alimentación y prestar atención a los detalles.
Aquí tienes algunos consejos para minimizar su aparición:
- Cepillarse los dientes tras cada comida: hacerlo al menos dos veces al día con pasta fluorada ayuda a eliminar placa y refuerza el esmalte.
- Usar hilo dental a diario: limpia zonas interdentales donde el cepillo no llega, evitando que se acumulen bacterias.
- Reducir el consumo de azúcar: evita bebidas azucaradas y picoteos dulces entre horas, especialmente si no puedes cepillarte después.
- Mantener una dieta equilibrada: los alimentos ricos en calcio y vitaminas fortalecen los dientes.
- Acudir al dentista regularmente: una revisión cada seis meses permite detectar lesiones incipientes y aplicar medidas preventivas.
- Aplicar selladores si es necesario: sobre todo en niños y adolescentes, ayuda a proteger las zonas más vulnerables.
La prevención de las caries es la mejor forma de mantener tu sonrisa sana, funcional y libre de molestias a largo plazo.
Tratamientos contra caries en Teruel en Julián y Valderas
En Julián y Valderas trabajamos contigo para identificar y solucionar cualquier problema dental desde su origen. Si te preguntas cómo eliminar las caries, la respuesta está en una detección precoz y en aplicar el tratamiento adecuado en el momento justo.
En nuestra clínica valoramos el estado del diente afectado y decidimos la mejor opción en función de la profundidad de la lesión. Podemos tratar caries superficiales con empastes estéticos, que restauran la forma y color del diente sin dejar rastro. Si la lesión ha avanzado, aplicamos tratamientos más conservadores como incrustaciones o, si es necesario, endodoncias que preservan la pieza natural.
Nuestro objetivo es que recuperes la salud bucal con soluciones duraderas, personalizadas y adaptadas a tu caso. Te acompañamos desde la primera visita y resolvemos tus dudas con claridad. Si notas molestias o hace tiempo que no revisas tu boca, este es un buen momento para actuar.


